As células infieis: a pista crave para anticipar o cancro de mama
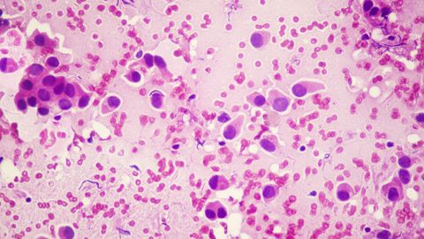
Investigadores do CNIO avanzan na identificación das lesións que se converterán en tumores, o que poderá axudar a evitar un sobretratamiento que ocorre no 20% dos casos
Investigadores do CNIO avanzan na identificación das lesións que se converterán en tumores, o que poderá axudar a evitar un sobretratamiento que ocorre no 20% dos casos
Os conservadores e a ultradereita pretenden dificultar o cambio de nome e xénero no rexistro civil e prohibir os bloqueadores hormonais e outros fármacos que poidan alterar as características sexuais dos menores.
O presidente do Goberno participou este xoves na reunión telemática celebrada entre os líderes de varios países e a Comisión Europea para establecer unha minoría de idade dixital que restrinxa o acceso ás plataformas dixitais
Durante unha rolda de prensa da NASA, o astronauta Reid Wiseman contou que o retrete comezou a atascarse pouco despois do lanzamento, a pesar de tratarse dun investimento de 23 millóns de dólares
O goteo de animais que teñen o virus continúa
Tras descartar la Península por las precipitaciones de este invierno, el equipo instaló su set la presa de Las Niñas en Gran Canaria, que ha alcanzado en las últimas semanas niveles de llenado inéditos por la borrasca Therese
AMC+ estrena este lunes los dos primeros episodios de la serie de Jonathan Glatzer, productor de «Succession» y «Better Call Saul»
El actor que dio vida a Marcos explica que planean recuperar la ficción
La diseñadora y empresaria, que cumple este viernes 52 años, se ha referido al problema en el clan familiar sin nombrar a su primogénito
La presentadora habla por primera vez de la pérdida de Obi, su perrito, que fue devorado por dos rottweilers cerca de su casa
El cantante se subió al confesionario del escenario de la artista en su segundo concierto en Barcelona
El sevillano, que aparcó su carrera como ingeniero para dedicarse a la creación de contenido musical, habla sobre los retos de la IA en esta área y de su experiencia como profesor en el concurso. «Siento que me acerco a la música de una forma más analítica y cuadriculada que otra gente», confiesa
A serie baseada na obra de Carmen Mola regresa a Atresplayer con Nerea Barros e Lucía Martín, xunto á fichaxe de Eduardo Casanova
O plan implementarase a partir de setembro como proxecto piloto nos municipios da Estrada, Cambados, Ribeira e Vilagarcía de Arousa
Un 17% dos adolescentes en España recoñecen ter adicción ao móbil, segundo un informe da oenegué
Un estudo revela que o sexo biolóxico deixa unha pegada no cerebro que inflúe no risco de sufrir enfermidades mentais: 133 xenes poderían explicar por que homes e mulleres enferman de forma distinta
As máxima poderían acadar valores próximos aos 30 graos na metade sur da comunidade
Unha ducia de líderes reuníronse este xoves por videoconferencia para coordinarse nesta política
A cadea de supermercados elaborará un gran receitario «en liña» coas mellores propostas e sorteará un premio cada mes entre todos os participantes no certame
O excapitán do Athletic Club e a súa esposa foron pais de dous fillos, de 25 e 22 anos
A Comisión de Festas do pobo leonés cometeu un erro ao vender máis participacións que as apoiadas por décimos no sorteo de Nadal do 2025, o que derivou nun desfasamento de catro millóns de euros. Os beneficiados acordaron unha quita dos 26, 5 millóns
O conselleiro de Educación denuncia que o decreto do Goberno impón requisitos sen achegar financiamento
Acusada de homicidio involuntario e denegación de asistencia, descarta no xuízo que o home presentase signos de querer matarse
A parella regresa ao país oito anos despois nunha visita privada que combinou actos privados, benéficos e empresariais, como a aparición da actriz en «MasterChef»
Máis do 90% do mercado da nicotina en España é cigarro e picadura, mentres que os produtos alternativos non acadan o 10% de cota de mercado
Os centros escolares teñen dous anos para adaptarse á nova norma, que entra hoxe en vigor
A nova tecnoloxía, que axudará axudará á planificación urbana e á xestión forestal, determinou que os abetos son a especie de crecemento máis rápido
Starmer reuniuse este xoves con representantes das principais compañas. O seu Goberno estuda xa distintas opcións como fixar unha idade mínima de acceso ás redes ou limitar as funcións adictivas
Aínda que a rúa continúa sendo o contexto máis común onde as persoas LGTBI+ reciben discriminación e odio (32%), o ámbito laboral pasa a ser un escenario máis protagonista este 2026 ao agrupar o 13% do total, cun aumento de entre un 4 e un 5% das situacións máis graves con respecto ao ano pasado
A concursante agradece que o paso polo programa servise para que a xente a coñeza
O androide é unha estrela mediática no seu país. Corre maratóns, baila en televisión, dá discursos no Parlamento e colabora con marcas de luxo